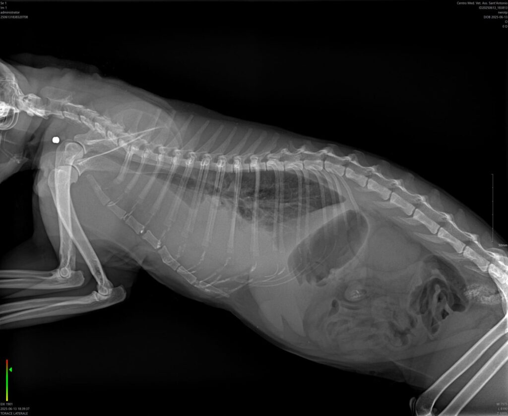
Qualche giorno fa una notizia straziante è giunta ai volontari Oipa di Trapani: un gatto gravemente malato e con difficoltà respiratorie si trovava agonizzante per strada. Il micio è stato prontamente recuperato e trasferito presso una Clinica Veterinaria convenzionata con il Comune. Alla visita medica è stato riscontrato qualcosa di agghiacciante: il gatto è stato sparato qualche giorno prima e alle radiografie si evidenziano dei proiettili che gli hanno perforato la guancia e il torace, causando delle lesioni mortali.

Il delegato dell’OIPA di Trapani Baldo Ferlito, grazie al supporto dell’ufficio Legale di OIPA Itali OdV, ha presentato denuncia/querela contro ignoti, sperando che le autorità competenti possano trovare il colpevole di questo terribile e ingiustificato gesto. A segnalare l’animale è stata una cittadina, mentre il Comando di Polizia Locale si è immediatamente attivato, iniziando sin da subito le indagini per risalire al colpevole.